10 března 2026

Veneery zuby: Před a po fotografii - co se změní a jak to funguje

Veneery zuby: Před a po fotografii - co se změní a jak to funguje

Veneery zuby jsou jedním z nejpopulárnějších způsobů, jak rychle a efektivně zlepšit vzhled úsměvu. Mnoho lidí si je vybírá, když chtějí odstranit skvrny, zarovnat nepříliš dokonalé zuby, zkrátit příliš krátké zuby nebo jednoduše dosáhnout bělejšího a přirozenějšího vzhledu. Ale co se skutečně stane s vašimi zuby, když se rozhodnete pro veneery? A jak vypadají skutečné před a po fotografiích? Tady je přehled, který vám ukáže, co vás čeká - bez přehnaných slibů a jen s konkrétními informacemi.

Co jsou veneery zuby?

Veneery zuby jsou tenké keramické nebo kompozitní plátky, které se přilepují na přední povrch zubů. Jsou navrženy tak, aby přesně kopírovaly přirozený tvar a barvu vašich zubů, ale zároveň skrývají nedostatky, které byste jinak nemohli odstranit běžným bělením nebo ortodontickým léčením. Veneery nejsou náhradou za zuby - jsou spíše elegantním povlakem, který zlepšuje jejich vzhled.

Keramické veneery jsou nejčastější volbou. Jsou odolnější, trvají déle (10-15 let) a odolávají skvrnám. Kompozitní veneery jsou levnější, ale méně trvanlivé (5-7 let) a mohou se po několika letech trochu zbarvit. Obě varianty se používají v praxi, ale keramické se doporučují, pokud hledáte dlouhodobé řešení.

Co se změní - před veneery

Před zákrokem je běžné, že lidé mají:

  • zuby s tmavými skvrnami z kávy, čaje nebo tabáku
  • malé mezery mezi zuby (diastemy)
  • zuby, které jsou trochu zkrácené nebo nepravidelně tvarované
  • zuby s opotřebovaným emailem, které vypadají matně nebo šedivě
  • zuby, které jsou mírně zvětšené nebo zkroutené, ale nejsou dostatečně špatně pro ortodontii

Tyto problémy nejsou zdravotně nebezpečné, ale mohou ovlivnit sebevědomí. Mnoho lidí se vyhýbá smíchu, fotografování nebo přímému kontaktu s lidmi, protože se cítí nejistě s vzhledem svých zubů. Veneery neřeší karies, záněty nebo zdravotní problémy - jen estetické nedostatky.

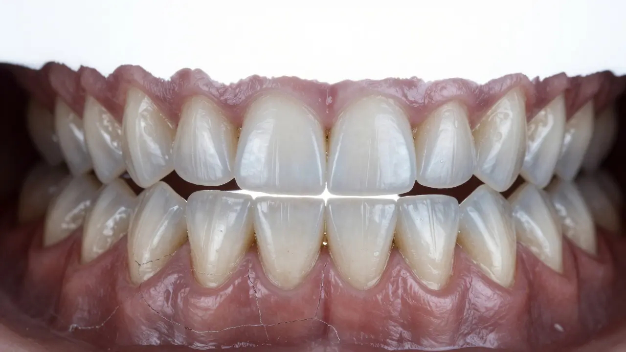
Co se změní - po veneerách

Po aplikaci veneerů se změní všechno, co se týká vzhledu vašich předních zubů:

  • barva zubů je rovnoměrně bílá, ale přirozená - ne „filmově“ bílá
  • mezery mezi zuby jsou zcela zavřené
  • zuby vypadají rovnější, i když nebyly ortodonticky upraveny
  • hrany zubů jsou přesně tvarované, což vytváří přirozený, zdravý vzhled úsměvu
  • zuby vypadají delší a výraznější, což může zlepšit i vzhled celého obličeje

Na fotografii „před a po“ je největší rozdíl v kontrastu. Před: zuby vypadají šedivě, nepravidelně, s nejasnými hranami. Po: zuby jsou jasně definované, světlé, s přirozeným leskem. Není to „převlečení“ - je to přesnější, lépe zpracovaná verze vašich zubů.

Zubní lékař připravuje zub na veneer s jemným odstraněním emaile, pacient klidně sedí.

Jak probíhá proces?

Proces trvá obvykle dvě návštěvy u zubního lékaře. První návštěva je přípravná:

  1. Konzultace a plánování - lékař vám ukáže, jak budou vypadat vaše zuby po veneerách, a spolu s vámi vyberou barvu a tvar.
  2. Příprava zubů - odstraní se velmi tenká vrstva emaile (asi 0,3-0,7 mm). To je potřeba, aby veneery nevypadaly příliš tlusté. Není to bolestivé - obvykle stačí lokální anestézie.
  3. Vzorek - lékař vezme odtisk vašich zubů a pošle ho do laboratoře, kde se veneery vyrábí.

Ve druhé návštěvě (obvykle 2-3 týdny později):

  1. Testování fitu - veneery se zkusí na zubech, aby se ověřilo, zda sedí, barva je správná a tvar je přirozený.
  2. Přilepení - pomocí speciálního lepidla se veneery trvale připevní. Lepidlo se ztvrdí světlem.
  3. Finální úpravy - lékař upraví hrany, aby se nesedaly při žvýkání a neodřízly dásně.

Proces není složitý, ale vyžaduje zkušeného lékaře. Některé kliniky nabízejí digitální návrhy - můžete si předem zobrazit, jak budete vypadat, pomocí 3D simulace.

Před a po - skutečné příklady

Ve skutečnosti se lidé s veneery nejčastěji rozhodují pro:

  • 4-8 veneerů - obvykle na horních předních zubech (od kříže ke kříži)
  • 10-12 veneerů - pokud se chce zlepšit i dolní úsměv, nebo pokud je potřeba vyrovnat asymetrie
  • 16 veneerů - kompletní „úsměvová revoluce“, která se často volí u lidí, kteří se chtějí úplně přeměnit

Na fotografiích se často vidí, jak se zubní řada změní z „nepravidelné“ na „katalogově dokonalou“. Ale důležité je: dokonalá neznamená umělá. Dobře zhotovené veneery vypadají přesně jako vaše původní zuby - jen lepší. Někteří pacienti říkají: „Vypadám jako já, ale s nejlepším úsměvem, jaký jsem kdy měl.“

Co je důležité vědět - nejen o před a po

Veneery nejsou „zázrak“ - mají i své limity:

  • Nelze je použít, pokud máte křivé zuby - pokud je zubová řada velmi špatně, je lepší nejdříve ortodontické léčení.
  • Nelze je použít, pokud máte zubní kariés - kariés se musí nejprve vyléčit.
  • Nelze je použít, pokud máte zubní brnění - brnění způsobuje přílišné opotřebení, což může vést k poškození veneerů.
  • Nelze je použít, pokud jste zvyklý na škrábání zubů - brnění zubů (bruxismus) může veneery rozdrtit. V takovém případě je nutné používat noční štít.

Také je důležité: veneery nejsou „nepřekonatelné“. Mohou se poškodit, pokud budete škrábat zuby kovovými předměty, žvýkat led, nebo používat zuby jako nůžky. Některé kliniky nabízejí záruku na 5-10 let, ale jen pokud dodržíte doporučenou péči.

Půlka zubu s opotřebovaným emailem a půlka s lesklými veneery, výrazný kontrast.

Péče po veneerách

Po aplikaci veneerů se vaše zuby nezmění v „neprůstřelné“ - potřebují stejnou péči jako přirozené zuby:

  • Čistěte zuby dvakrát denně - používejte měkkou kartáček a fluoridovou pastu
  • Používejte nitě - základní péče, která zabrání zánětu dásní
  • Navštěvujte zubního lékaře každých 6 měsíců - kontrola a profesionální čištění
  • Vyhněte se barvivům - káva, čaj, červené víno mohou postupně zbarvovat lepidlo mezi veneerem a zubem
  • Používejte noční štít - pokud brněte zuby

Nezapomeňte: veneery nejsou „zázračná ochrana“. Pokud se nebudete starat o zuby, můžete získat zánět dásní - a to může vést k ztrátě i samotného zubu, na kterém je veneer přilepen.

Cena a návratnost investice

Cena jednoho keramického veneeru v České republice se pohybuje mezi 4 000 a 7 000 Kč. To znamená, že kompletní úsměvová revoluce na horní čelisti (8 zubů) může stát 32 000-56 000 Kč. Kompozitní veneery stojí kolem 1 500-3 000 Kč za kus, ale jejich životnost je kratší.

Je to investice, ale ne jednorázová. Veneery trvají 10-15 let - což znamená, že denní náklad je menší než 10 Kč za den. Většina lidí, kteří je mají, říká, že to byla nejlepší investice do sebe, kterou kdy udělali. Zvyšují sebevědomí, zlepšují kvalitu života a často mají pozitivní dopad i na pracovní život.

Co dělat, když se rozhodnete pro veneery?

Nemusíte mít dokonalý úsměv, abyste měli nárok na veneery. Stačí, když:

  • se cítíte nejistě s vzhledem svých zubů
  • se vyhýbáte smíchu nebo fotografování
  • chcete zlepšit vzhled bez dlouhé ortodontie
  • chcete přirozený výsledek, ne „plastický“ vzhled

Nejprve se obraťte na zubního lékaře, který má zkušenosti s estetickou stomatologií. Většina klinik v Olomouci, Brně nebo Praze nabízí bezplatnou konzultaci. Během ní si můžete ukázat před a po fotky skutečných pacientů - ne jen modelů.

Veneery nejsou pro každého. Ale pro mnoho lidí jsou nejlepší cesta k úsměvu, který se může smát bez strachu.

Můžu si dát veneery, když mám křivé zuby?

Veneery mohou skrýt mírné křivosti, ale pokud jsou zuby výrazně zkroutené nebo překrývají se, není to optimální řešení. V takovém případě je lépe nejdříve provést ortodontické léčení. Veneery nejsou náhradou za zubní drátky - jsou jen estetickým pokrytím.

Je proces bolestivý?

Ne. Při přípravě zubů se odstraní jen tenká vrstva emaile, což je méně než 1 mm. Většina lidí necítí žádnou bolest. Pokud máte citlivé zuby, lékař vám může dát místní anestézii - ale není to vždy nutné. Po přilepení nemusíte mít žádnou bolest, jen lehké citlivosti, které zmizí za pár dní.

Jak dlouho trvá, než budou veneery připravené?

Mezi první a druhou návštěvou trvá obvykle 2-3 týdny. To je čas potřebný na výrobu veneerů v laboratoři. Některé kliniky mají digitální systémy, které umožňují výrobu za 1-2 dny - ale to je méně časté a často dražší.

Můžu jíst normálně po aplikaci veneerů?

Ano. Veneery jsou navržené tak, aby odolávaly normálnímu žvýkání. Ale vyhněte se tvrdým potravinám, které mohou poškodit zuby - například škrábání ledem, žvýkání oříšků zuby nebo otevírání láhví. Veneery jsou odolné, ale ne nezničitelné.

Co se stane, když se veneer poškodí?

Pokud se veneer poškodí (například rozštěpí nebo odleptá), není nutné vyměnit všechny. Lékař může vyměnit pouze poškozený. Většina klinik má záruku na 5-10 let, ale jen pokud dodržíte doporučenou péči a nebráníte zuby. V případě poškození je třeba se obrátit na lékaře co nejdříve.

Napsal:
Vítězslav Kovařík
Vítězslav Kovařík