28 prosince 2025

Zubní kámen pod dásní - co můžete dělat doma

Zubní kámen pod dásní - co můžete dělat doma

Rizikový analyzátor zubního kamene

Posouzení rizika vzniku zubního kamene pod dásněmi

Zadejte informace o své ústní hygieně a stravě, abychom spočítali vaše riziko. Výsledek vám pomůže určit, kdy je třeba navštívit zubního lékaře.

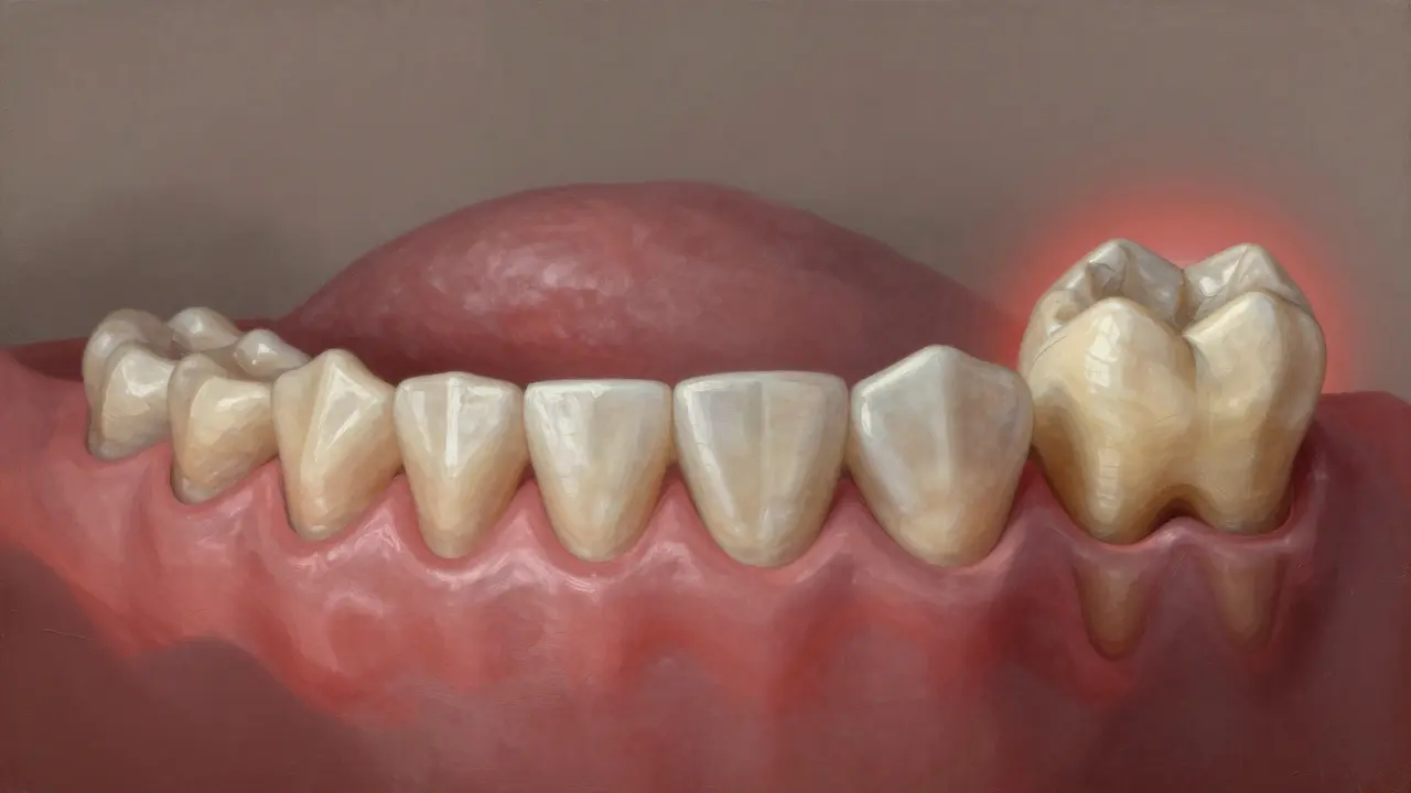
Chcete vědět, proč se vám pod dásněmi hromadí ten hnědý, tvrdý nános, který se neodstraní ani nejlepším čištěním zubů? To je zubní kámen. A když se objeví pod dásněmi, je to ještě hůře než ten na povrchu zubů. Nejde ho prostě očistit kartáčkem. A když ho necháte, může způsobit zánět dásní, krvácení, dokonce ztrátu zubů. Nejde o nějakou vzdálenou hrozbu - v Česku má přes 70 % dospělých alespoň mírný zubní kámen pod dásní. A nejde o to, že byste se špatně čistili. Většinou je to kombinace několika věcí: časté jídlo s cukrem, nízký příjem vitamínů, dědičnost, nebo jen to, že se vám některé zuby těžko čistí.

Proč se zubní kámen tvoří pod dásní?

Zubní kámen není nějaký zvláštní typ nánosu. Je to jen ztuhlá zubní placka. Placka je ten měkký, lepkavý film, který se na zubech tvoří každý den. Obsahuje bakterie, sliny a zbytky jídla. Když se neodstraní během 2-3 dnů, začíná mineralizovat. Kalcium a fosfáty ze slin se v něm usazují a přeměňují ho na tvrdý kámen. A pod dásní? Tam je to ještě hůře. Dásně se těsně přilehají k zubům, ale mezi nimi a zubem vzniká malý prostor - tzv. zubní kapsa. Tam se placka tvoří skrytě. Čistíte zuby, ale nevidíte, co se děje pod dásní. Bakterie tam vytvářejí kyseliny, které způsobují zánět. A když se kámen začne tvořit, už ho neodstraníte ani nejlepším kartáčkem.

Co můžete dělat doma - skutečně účinné kroky

Nemůžete odstranit zubní kámen pod dásní doma. To je důležité si uvědomit. Pouze zubní lékař má nástroje, které to dokážou. Ale můžete zpomalit jeho tvorbu a zmenšit zánět. A to je větší úspěch, než si myslíte.

  • Čistěte zuby dvakrát denně - a správně. Nepoužívejte jen horní a dolní pohyb. Používejte metodu Bass - kartáček držte pod úhlem 45 stupňů k dásni a dělejte jemné kruhové pohyby. Cíl je nejen čistit zuby, ale i čistit hranici mezi zubem a dásní. Dělejte to 2 minuty - nastavte si hodiny na telefonu.
  • Používejte mezizubní kartáčky nebo nit. Pokud máte mezery mezi zuby, nebo když se vám pod dásní tvoří kámen, mezizubní kartáček je klíč. Vyberte ten správný velikost - nechcete ho zasunout silou. Vložte ho jemně mezi zuby a pohybujte sem a tam. Udělejte to alespoň jednou denně, nejlépe večer. Nit funguje taky, ale pro začátečníky je kartáček jednodušší.
  • Používejte zubní pastu s fluoridem a protizánětlivými látkami. Hledejte pasty s chlorhexidinem nebo zinkem. Tyto látky zpomalují růst bakterií a uklidňují dásně. Nezapomeňte: fluorid je důležitý pro zpevnění zubů, ale neodstraní kámen. Pouze ho zpomalí.
  • Polojte ústa solným roztokem. Roztok z jedné čajové lžičky soli v půl litru teplé vody. Polejte 2-3 krát denně, po 30 sekundách. Zlepšuje krevní oběh v dásních a snižuje zánět. Není to lék, ale pomůže vám přežít čekání na zubního lékaře.
  • Nejedzte sladké mezi jídly. Každý cukr, který sníte, dává bakteriím palivo. Pokud jíte sladkosti nebo nápoje mezi jídly, zubní placka se tvoří neustále. Zkuste to omezit. Pokud to nejde, vypláchněte ústa vodou hned po jídle.

Co nefunguje - běžné mýty

Na internetu najdete spoustu „domácích triků“. Všechny jsou nebezpečné.

  • Nepoužívejte soli, ocet nebo citron na zuby. Tyto látky jsou kyselé a poškozují sklovinku. Můžete si poškodit zuby navždy.
  • Nepoužívejte žádné ostré předměty - nejde o to, že jste „odkousli“ kámen. To, co se vám zdá jako kámen, je většinou jen zánětlivá tkáň nebo zbytky jídla. Pokud to zkusíte „odstranit“ jehlou, hůlkou nebo jiným předmětem, poškodíte dásně. To může vést k infekci, která bude mnohem horší než kámen.
  • Nečistěte zuby příliš silně. Jestliže máte krvácení dásní, neznamená to, že potřebujete čistit tvrději. Naopak - příliš silné čištění poškozuje dásně a způsobí, že se budou ještě více odtahovat od zubů.

Když už se to nevyhneme - kdy jít k zubnímu lékaři?

Když začnete cítit, že dásně krvácí při čištění, když se vám zuby zdají delší, nebo když se vám v ústech objeví nepříjemný zápach, který nezmizí ani po čištění - je čas jít k lékaři. Nečekejte, až bude bolět. Kámen pod dásní se nebojí bolesti. On se jen pomalu rozšiřuje a ničí kost kolem zubu.

Zubní lékař použije ultrazvukový nástroj - skalpel. Ten odstraní kámen bez bolesti a bez poškození zubu. Pokud je kámen hluboko, může být potřeba i hluboké čištění - tzv. odstranění zubního kamene pod dásní (scaling a root planing). To se dělá ve dvou až třech návštěvách. Není to nic, co byste měli vyhýbat. Je to jednoduchá, běžná procedura, která zabraňuje ztrátě zubů.

Člověk čistí zuby správnou technikou Bass s kartáčkem pod úhlem 45 stupňů.

Co se stane, když to necháte?

Když necháte zubní kámen pod dásní, nejde jen o nepěkný vzhled. Bakterie v něm produkují toxiny, které ničí tkáně kolem zubu. Dásně se odtrhávají, vznikají tzv. zubní kapsy - hluboké dutiny, kde se ještě více hromadí bakterie. Kost kolem zubu se začne rozpouštět. To se jmenuje parodontitida. A když se kost ztratí, zub se začne hýbat. Až do chvíle, kdy ho musíte vytrhnout. A to není jen o jednom zubu. Když jedna část ústní dutiny zanikne, celý systém se začne řídit jinak. Zuby se posunou, špatně se žvýká, může se objevit i bolest hlavy nebo krku.

Podle dat z Ústavu veřejného zdraví v Praze je parodontitida hlavní příčinou ztráty zubů u dospělých nad 35 let. A většina těchto případů by se dala předcházet - pokud by lidé šli na kontrolu u zubního lékaře každých 6-12 měsíců.

Co můžete udělat na dlouhodobou péči

Nejlepší způsob, jak se zbavit zubního kamene pod dásní, je ho nevznikat. A to jde.

  • Navštěvujte zubního lékaře každých 6 měsíců. I když se vám nic nebojí. Lékař uvidí kámen dřív, než ho vyčistíte sami. A může vám doporučit, co přesně potřebujete - třeba jiný kartáček, jinou pastu, nebo častější čištění.
  • Zvýšte příjem vitamínů C a D. Vitamín C podporuje zdraví dásní. Vitamín D pomáhá tělu vstřebávat vápník - a to znamená, že kost kolem zubů zůstane silná. Jezte více zeleniny, citrusových ovoce, ryb a vajec. Pokud nemáte dost slunce, zvažte doplněk vitamínu D3 - 1000-2000 IU denně.
  • Přestanete kouřit. Kouření je jedna z největších příčin zubního kamene pod dásní. Nikotin způsobuje, že se dásně lépe krevní oběh, takže tělo nemůže bojovat proti infekci. Kouření také způsobuje, že kámen vzniká rychleji a lékař ho těžší odstraní.

Co dělat, když máte děti?

U dětí se zubní kámen pod dásní vyskytuje méně často, ale stále se to stává. Pokud vaše dítě má krvácení dásní při čištění, neříkejte „to je normální“. To není. Děti potřebují stejnou péči jako dospělí - jen s jinými nástroji. Používejte dětské mezizubní kartáčky - jsou jemnější. A naučte je správné technice čištění. Nechte je čistit zuby pod vaším dohledem až do 8 let. A pak je vezměte na kontrolu každých 6 měsíců. Nečekejte, až se objeví bolest.

Grafické znázornění pokroku parodontitidy od zdravých dásní k ztrátě kosti a zubu.

Co dělat, když máte zubní náhrady?

Když máte korunku, most nebo protézu, ještě je důležitější dbát na čištění pod dásní. Placka se tvoří nejen na zubech, ale i na hranicích náhrad. Používejte speciální mezizubní kartáčky pro náhrady - jsou navržené tak, aby se dostaly pod mosty nebo kolem implantátů. Nezapomeňte, že i když nemáte vlastní zub, dásně kolem náhrady potřebují péči. Jinak může dojít k zánětu, který ohrožuje celou náhradu.

Co dělat, když máte zubní kámen a jste těhotná?

Těhotenství zvyšuje riziko zánětu dásní. Hormony zvyšují citlivost dásní na bakterie. To znamená, že i malá placka může způsobit silnější krvácení. To není normální - a není to „jen těhotenský problém“. Je to vážnější. Navštěvujte zubního lékaře v prvním trimestru. Může vám doporučit bezpečný způsob čištění a případně provést bezpečné čištění kamene. Nebojte se - moderní ultrazvukové nástroje jsou bezpečné i pro těhotné ženy.

Můžu odstranit zubní kámen pod dásní doma pomocí nástrojů z lékárny?

Ne. Žádný nástroj z lékárny - ani nejdražší - neodstraní zubní kámen pod dásní. Tyto nástroje jsou navržené jen pro odstranění povrchového nánosu. Pokud se pokusíte použít něco ostřejšího, poškodíte dásně nebo sklovinku. Jediný bezpečný způsob, jak odstranit kámen pod dásní, je profesionální čištění u zubního lékaře.

Krvácení dásní je normální, když jsem mladý?

Ne. Krvácení dásní není normální v žádném věku. Je to první známka zánětu - gingivitidy. U mladých lidí to často znamená, že se špatně čistíte nebo používáte špatný kartáček. Nejde o věk - jde o hygienu. Pokud krvácíte, změňte způsob čištění a navštivte zubního lékaře. Nečekáte, až se to zhorší.

Může zubní kámen pod dásní způsobit zápach z úst?

Ano, a často je to hlavní příčina. Bakterie v kámen produkují zápachové látky - zejména sírovodík. I když si čistíte zuby, zápach zůstává, protože kámen je skrytý pod dásní. Nejde o žaludek nebo jídelníček - jde o ústní dutinu. Pokud máte trvalý zápach a necháte ho, může to být předzvěst parodontitidy.

Je bezpečné čistit zuby, když dásně krvácí?

Ano, ale jemně. Nezastavujte čištění, když dásně krvácí. To zhorší zánět. Místo toho používejte měkký kartáček a techniku Bass - jemné kruhové pohyby pod úhlem 45 stupňů. Pokud krvácení přetrvává déle než týden, navštivte zubního lékaře. Krvácení je signál, že něco není v pořádku - ne že byste měli přestat čistit.

Může zubní kámen pod dásní ovlivnit celkové zdraví?

Ano. Bakterie z zánětlivých dásní mohou proniknout do krve a ovlivnit jiné části těla. Je dokázáno, že parodontitida je spojena s vyšším rizikem srdečních onemocnění, cukrovky a dokonce i předčasných porodů. Nejde jen o zuby - jde o celé tělo. Péče o ústní dutinu je součástí celkového zdraví.

Co dělat dál?

Zubní kámen pod dásní není nevyhnutelný. Je to výsledek vaší každodenní péče - ne náhody. Nejde o to, že jste „špatný“ nebo „nepozorný“. Jde o to, že jste nevěděli, co dělat. Teď víte. Začněte dnes. Vezměte si mezizubní kartáček, vyzkoušejte solný roztok, změňte pastu. A vězte: největší chyba není to, že jste měli kámen. Je to to, že jste ho nechali být. Navštivte zubního lékaře do dvou měsíců. To je jediná věc, která opravdu změní věc.

Napsal:
Vítězslav Kovařík
Vítězslav Kovařík